Kundenkonto vorhanden?
Melden Sie sich an, um Preise zu sehen oder unsere Produkte online zu kaufen. Falls Sie kein Konto haben, registrieren Sie sich vorab.
Artikel-Nr.: MAD-000266QD

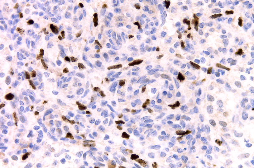
Human Herpesvirus HHV8

Antibody

Ein hochspezifischer Marker für HHV-8-assoziierte Erkrankungen und essenziell für die sichere Diagnose des Kaposi-Sarkoms.

  • CE IVDR zertifiziert
  • FDA zertifiziert
  • NordiQC - UK NEQAS geprüft
Benötigen Sie weitere Informationen zu diesem Produkt?

Der Antikörper gegen das Human herpesvirus 8 ermöglicht den spezifischen immunhistochemischen Nachweis von HHV-8-infizierten Zellen. HHV-8 ist eng mit der Entstehung des Kaposi-Sarkoms sowie bestimmter lymphoproliferativer Erkrankungen assoziiert.

Typischerweise richtet sich der Antikörper gegen das latente nukleäre Antigen (LANA), wodurch eine charakteristische nukleäre Färbung in infizierten Zellen sichtbar wird.

Der Marker ist besonders wichtig für:

  • Diagnose des Kaposi-Sarkoms
  • Nachweis HHV-8-assoziierter Lymphome (z. B. primäres Effusionslymphom)
  • Abgrenzung gegenüber anderen vaskulären Tumoren
  • Applikation: IHC (FFPE)
  • Host: Mouse oder Rabbit (klonabhängig)
  • Verdünnungsbereich:
  • Immunogen: HHV-8 LANA (latentes nukleäres Antigen) oder synthetische Peptide
  • Zelluläre Lokalisation: Nukleär
  • Positivkontrolle: Kaposi-Sarkom
Leider gibt es kein Video zu diesem Produkt
Leider gibt es keine Downloads zu diesem Produkt

Verbrauchsmaterial, Zubehör und ähnliche Produkte

Wir bieten ausgewählte hochwertige Geräte für Ihr pathologisches Labor. Gerne beraten wir Sie und entwickeln zusammen mit Ihnen effiziente und nachhaltige Prozesse, und helfen Ihnen beim Finden der richtigen Produkte.

Unsicher, was das richtige für Sie ist?

Wir beraten sie gerne und helfen ihnen die passende Einrichtung für ihr Labor zu finden.

Ihre Service Anfrage wurde versendet!

Wir werden Ihre Anfrage prüfen und uns bei Ihnen melden.

Jetzt anmelden

Vielen Dank für Ihre Anfrage

Wir werden Ihre Anfrage prüfen und uns bei Ihnen melden.
Anfrage für:

Human Herpesvirus HHV8

1
Allgemeine Informationen
2
Kontakt