Kundenkonto vorhanden?
Melden Sie sich an, um Preise zu sehen oder unsere Produkte online zu kaufen. Falls Sie kein Konto haben, registrieren Sie sich vorab.
Artikel-Nr.: MAD-000593QD

Herpes Simplex Virus I Antibody

Antibody

Ein zuverlässiger Marker für den direkten Nachweis von HSV-1 in Gewebeproben – besonders wertvoll bei unklaren Läsionen oder atypischen klinischen Verläufen.

  • CE IVDR zertifiziert
  • FDA zertifiziert
  • NordiQC - UK NEQAS geprüft
Benötigen Sie weitere Informationen zu diesem Produkt?

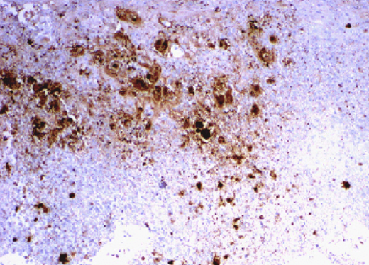
Der Antikörper gegen das Herpes simplex virus type 1 ermöglicht den spezifischen immunhistochemischen Nachweis von HSV-1 in infizierten Gewebeproben. HSV-1 ist ein DNA-Virus aus der Familie der Herpesviridae und verursacht vor allem orolabiale Infektionen, kann jedoch auch andere Organe betreffen.

In der Histologie zeigt sich typischerweise eine nukleäre Positivität in infizierten Zellen, häufig begleitet von charakteristischen zytopathischen Veränderungen wie mehrkernigen Riesenzellen und intranukleären Einschlusskörperchen.

Der Marker wird eingesetzt zur:

  • Bestätigung von Herpesinfektionen in Gewebe
  • Differenzierung gegenüber anderen viralen oder entzündlichen Läsionen
  • Diagnostik bei immunsupprimierten Patienten
  • Applikation: IHC (FFPE)
  • Host: Mouse oder Rabbit (klonabhängig)
  • Verdünnungsbereich:
  • Immunogen: HSV-1 virale Proteine oder synthetische Peptide
  • Zelluläre Lokalisation: Nukleär (teilweise auch zytoplasmatisch)
  • Positivkontrolle: HSV-1-infiziertes Gewebe (z. B. Hautläsionen)
Leider gibt es kein Video zu diesem Produkt
Leider gibt es keine Downloads zu diesem Produkt

Verbrauchsmaterial, Zubehör und ähnliche Produkte

Wir bieten ausgewählte hochwertige Geräte für Ihr pathologisches Labor. Gerne beraten wir Sie und entwickeln zusammen mit Ihnen effiziente und nachhaltige Prozesse, und helfen Ihnen beim Finden der richtigen Produkte.

Unsicher, was das richtige für Sie ist?

Wir beraten sie gerne und helfen ihnen die passende Einrichtung für ihr Labor zu finden.

Ihre Service Anfrage wurde versendet!

Wir werden Ihre Anfrage prüfen und uns bei Ihnen melden.

Jetzt anmelden

Vielen Dank für Ihre Anfrage

Wir werden Ihre Anfrage prüfen und uns bei Ihnen melden.
Anfrage für:

Herpes Simplex Virus I Antibody

1
Allgemeine Informationen
2
Kontakt