Parcourir tous les produits

Votre demande de service a été envoyée !

Nous examinerons votre demande et reviendrons vers vous.

Connectez-vous maintenant

Merci pour votre demande

Nous examinerons votre demande et vous répondrons.
Demande pour:

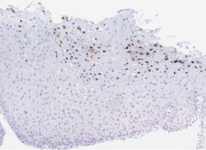
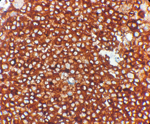
HPV ANTIBODY

1
Informations générales
2
Contact